CardioRenalCare
CardioRenalCare
  • Inicio
  • Medicina Interna
    • Medicina Interna
    • Clínica de Hipertensión
    • Clínica de Diabetes
  • Cardiología
    • Cardiología Clínica
    • Gabinete Cardiológico
  • Nefrología
    • Nefrología Clínica
    • Estudios y Procedimientos
    • Diálisis
    • Trasplante renal
  • More
    • Inicio
    • Medicina Interna
      • Medicina Interna
      • Clínica de Hipertensión
      • Clínica de Diabetes
    • Cardiología
      • Cardiología Clínica
      • Gabinete Cardiológico
    • Nefrología
      • Nefrología Clínica
      • Estudios y Procedimientos
      • Diálisis
      • Trasplante renal
  • Inicio
  • Medicina Interna
    • Medicina Interna
    • Clínica de Hipertensión
    • Clínica de Diabetes
  • Cardiología
    • Cardiología Clínica
    • Gabinete Cardiológico
  • Nefrología
    • Nefrología Clínica
    • Estudios y Procedimientos
    • Diálisis
    • Trasplante renal

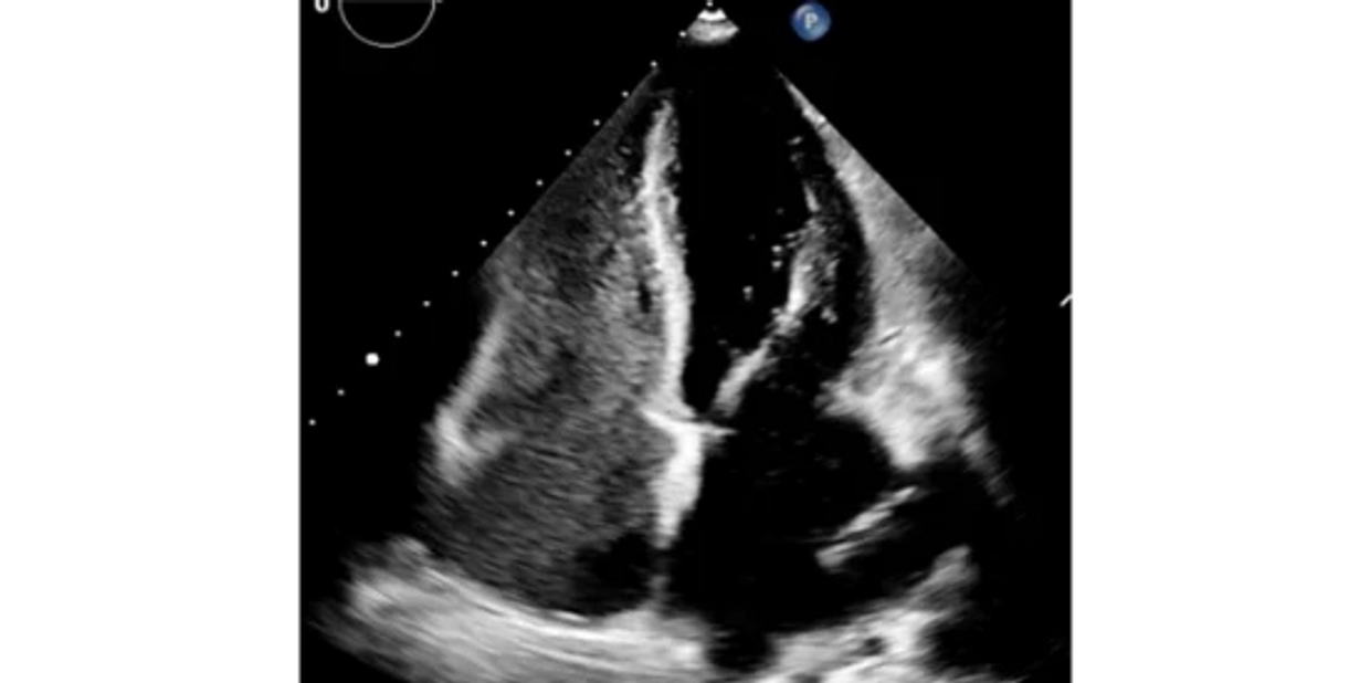
Ecocardiograma contrastado

  • El ecocardiograma transtorácico contrastado (o "estudio de burbujas") consiste en realizar un ultrasonido del corazón y administrar un poco de solución salina a través de una vía intravenosa.


  • Nos permite identificar algunos cortocircuitos de la circulación (intracardiacos o extracardiacos), lo cual es importante para la evaluación de diversas enfermedades.


  • No duele, pero algunos pacientes pueden presentar incomodidad leve debido a la presión requerida para obtener imágenes. 


  • No requiere anestesia ni ninguna preparación especial. 

Agenda tu cita hoy!

Contáctanos

Copyright © 2024 CardioRenalCare - Todos los derechos reservados.

Powered by